Zum Hauptinhalt springen

Formen der operativen Knochenversorgungen

Formen der operativen Knochen-
versorgungen

Plattenosteosynthese

Hierbei wird eine Metallplatte  als "Kraft (über-) träger zwischen den Knochenbruchstellen verwendet. Es gibt es eine Vielzahl an Platten ( Abstützplatte, Neutralisationsplatte, Kompressionsplatte, etc.) mit diversen Größen und Längen. Die Metallplatte wird mit speziellen Schrauben (z.B.: Corticalisschrauben / Spongiosaschrauben / ...) am Knochen fixiert.

Fall 1

Fall 2

Fall 3

Fall 3

Fall 3

Schraubenstabilisierung von Frakturen

Bei der "Schraubenfixation" wird auf Platten verzichtet. jedoch wird diese Methode der Frakturbehandlung nur in seltenen Fällen verwendet. Dies wäre z.B. zur Fixation im Beckenbereich oder bei Bandansatzausrißen möglich.

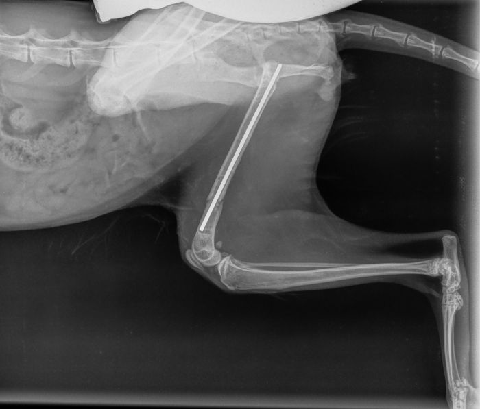
Fixation durch Markraumnägel / Pins

Zusätzlich zur Plattenosteosynthese werden öfters sogenannte Pins oder Markraumnägel verwendet, um einen Bruch in der Längsachse zu stellen.

Fall 1

Fall 1

Fall 2

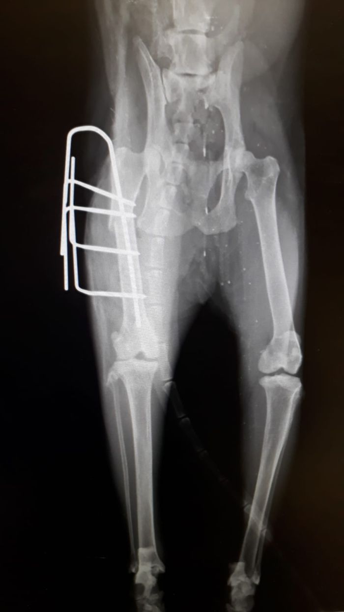
Fixateur externe

Hierbei werden Pinstangen durch die Haut hindurch in die jeweiligen Knochenfragmente gebohrt / in diesen Fragmenten verankert. An den Pinstangen wird dann aussen quer zu den gesetzten PinStangen entweder eine Längsstange oder Kunststoffüberbrückungen angebracht. Die Verwendung eines Fixateur hat seine Vor- und Nachteile die im jeweiligen Einzelfall durch unseren Operateur mit Ihnen besprochen werden.

Fall 1

Fall 1

Fall 1

Fall 1

Fall 1

Fall 2